Las radiografías dentales son una herramienta que apoya el diagnóstico dental, fundamental en la odontología. Gracias a ellas, los especialistas pueden complementar su examen clínico, asegurando diagnósticos más precisos y tratamientos efectivos. Existen diferentes tipos de radiografías, cada una diseñada para cumplir necesidades específicas en diagnósticos y tratamientos odontológicos. A continuación, exploraremos cuáles son y sus aplicaciones.
¿Por qué existen diferentes tipos de radiografías dentales?
No todas las radiografías dentales tienen el mismo propósito. Cada tipo está diseñado para abordar problemas específicos y obtener información detallada sobre diferentes partes de la boca y así planificar el tratamiento adecuado.
Propósitos principales de las radiografías dentales:
- Detectar caries o problemas en las raíces de los dientes.
- Evaluar el estado del hueso y las encías.
- Planificar tratamientos complejos como implantes o extracciones.
La elección del tipo de radiografía depende del problema a diagnosticar, la estructura a analizar y la complejidad del caso.
Radiografías intraorales
Las radiografías intraorales se realizan colocando la película o sensor dentro de la boca. Estas ofrecen imágenes detalladas de los dientes y sus estructuras circundantes. Los tipos más comunes son:
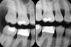
Radiografías Periapicales
Muestra un diente completo, desde la corona hasta la raíz, y el hueso que lo rodea. Se utiliza para detectar caries profundas, abscesos y quistes.
Radiografía Bitewing (aletas de mordida)
Capturan los dientes superiores e inferiores en una sola imagen. Muestra la unión entre los dientes y las encías, identificando caries entre ellos y permite monitorear la pérdida ósea causada por enfermedades periodontales.
Radiografías extraorales
Estas radiografías se toman desde fuera de la boca y ofrecen una visión más completa de las estructuras dentales y maxilofaciales. Los tipos más comunes son:
Radiografías Panorámicas
Capturan una imagen completa de la boca, incluidos dientes, mandíbulas y senos maxilares. Entrega un contexto general de la boca del paciente.

Radiografías Cefalométricas
Proporcionan un perfil lateral del cráneo y los dientes. Se utiliza principalmente en ortodoncia para evaluar el crecimiento facial y son parte de las radiografías utilizadas para planificar tratamientos de ortodoncia.

Tomografía computarizada Cone Beam (CBCT)
Ofrece imágenes tridimensionales de alta resolución. Usadas para planificar tratamientos como la extracción de muelas del juicio o la colocación de implantes y detectar problemas en las articulaciones temporomandibulares.
¿Cómo elegir el tipo adecuado de radiografía dental?
La elección del tipo de radiografía depende de:
- El problema a diagnosticar.
- La edad y estado del paciente.
- La complejidad del caso.
Tu dentista es el profesional más capacitado para determinar el tipo de radiografía que necesitas.

Beneficios de conocer los tipos de radiografías dentales
Entre los principales beneficios están:
- Mayor comprensión del tratamiento: Al conocer los diferentes tipos de radiografías, podrás entender mejor por qué tu dentista recomienda un determinado tratamiento.
- Reducción de la ansiedad: Estar informado sobre los procedimientos dentales puede ayudarte a sentirte más relajado.
- Participación activa en tu cuidado dental: Podrás hacer preguntas y estar siempre informado del avance y los procedimientos de tu tratamiento.
- Tratamientos personalizados: Al entender tus necesidades específicas, se optimizan los resultados del tratamiento.
Las radiografías dentales son una herramienta esencial para el diagnóstico y tratamiento de una amplia variedad de problemas bucales. Cada tipo proporciona información valiosa que ayuda a los dentistas a planificar tratamientos personalizados y efectivos.














