Un diente fracturado puede ser un incidente doloroso y preocupante. Ya sea por un accidente, una mala mordida o el desgaste natural, esta lesión puede afectar significativamente tu salud bucal y tu sonrisa. En este artículo, te explicaremos qué es una fractura dental, cuáles son sus causas, cómo identificarla y qué opciones de tratamiento tienes disponibles. ¡Actuar rápidamente es clave para preservar tu dentadura!
¿Qué es una fractura dental?
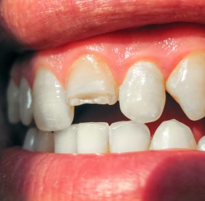
Ocurre cuando una parte del diente se rompe o se agrieta. Puede ser una fisura pequeña o completa y puede afectar el esmalte (la capa externa), la dentina (la capa interna) o incluso la pulpa (el centro del diente que contiene los nervios y vasos sanguíneos), la corona, la raíz o ambas.
Tipos de fracturas:
- Fisura: Astillado leve que afecta la capa superficial del diente. No hay un trozo partido o desprendido.
- Fractura del esmalte: Se desprende un trozo del diente. Se suelen producir o generar en el borde incisal o en ángulo.
- Fractura amelo dentinaria: Compromete esmalte y dentina, puede causar sensibilidad y puede o no comprometer la pulpa.
- Avulsión: Cuando el diente sale completamente del alveolo. Suele generarse por un impacto traumático.


Causas comunes de un diente fracturado
Descubre las razones más comunes detrás de esta afección y cómo prevenirlas:
- Mordidas fuertes sobre alimentos duros como huesos, caramelos, hielo o abrir objetos con los dientes.
- Traumatismos por accidentes, golpes o caídas
- Bruxismo o rechinar de dientes.
- Dientes debilitados por caries, restauraciones antiguas o tratamientos previos (como endodoncias).
¿Qué síntomas presenta una fractura dental?
¿Sospechas que tienes una fractura dental? Conoce los síntomas que debes tener en cuenta y cómo tratar esta afección:
- Dolor al morder o masticar.
- Sensibilidad al frío, calor o alimentos dulces.
- Fisura visible o sensación áspera al pasar la lengua.
- Inflamación en las encías cercanas.
- Mal aliento.
- Sabor metálico en la boca.
- Fragmento de diente visible.
¿Qué debo hacer si tengo un diente fracturado?
Pasos inmediatos a seguir:
- Aplica compresas frías en la cara para reducir la inflamación.
- Si encuentras el fragmento del diente, envuélvelo en un paño húmedo y guárdalo en leche o suero fisiológico. Importante no lavar ni limpiar el fragmento.
- Evita masticar con el lado afectado.
- Contacta a tu dentista para una cita de emergencia para evaluar la lesión y recibir el tratamiento adecuado.
Qué NO hacer:
- No apliques remedios caseros sin consultar a un especialista.
- No ignores el dolor, ya que puede indicar una lesión grave.

Tratamientos disponibles para un diente fracturado
El tratamiento dependerá de la gravedad de la fractura y de la ubicación del daño. Algunas opciones incluyen:
- Restauración: Se debe «reponer» la parte o el fragmento perdido.
- Endodoncia: Si la pulpa del diente está expuesta o infectada.
- Extracción: En caso de pronóstico rehabilitador.
Es fundamental un diagnóstico para la indicación de un tratamiento adecuado.
Fisura
Se puede solucionar con resina compuesta o pulido del borde para fracturas pequeñas en el esmalte.
Fractura del esmalte
Puede requerir la colocación de una corona, para proteger un diente debilitado o reconstruir una parte significativa del mismo, o bien, una carilla dental para mejorar su apariencia fracturada y disimular imperfecciones.
Fractura amelo dentinaria
- Endodoncia si la pulpa está dañada.
- Extracción y reemplazo con implante en casos extremos donde el diente no se puede salvar.
¿Cuáles son las complicaciones de no tratar un diente fracturado?
Estas son las consecuencias de no tratar a tiempo una fractura dental:
- Infección dental que puede extenderse a otros tejidos.
- Dolor crónico y sensibilidad prolongada.
- Pérdida del diente si no se actúa a tiempo.
¿Un diente fracturado se puede reparar siempre?
Depende de la gravedad. Un especialista evaluará la mejor opción.
¿Duele reparar un diente fracturado?
Los tratamientos se realizan con anestesia local, por lo que el dolor es mínimo o inexistente.
¿Cómo prevenir las fracturas dentales?
La prevención es la mejor medicina. Descubre cómo cuidar tus dientes y evitarlas.
- Usa protectores bucales al practicar deportes de contacto.
- Evita morder alimentos muy duros o abrir objetos con los dientes.
- En caso de bruxismo utiliza férulas de descarga o los planos indicados por tu tratante.
- Realiza chequeos dentales regulares para detectar y tratar problemas dentales a tiempo.
Un diente fracturado no solo afecta la estética, sino también la salud bucal. Actuar rápidamente y acudir al dentista puede marcar la diferencia entre salvarlo o perderlo. Si experimentas algún síntoma de fractura dental, consulta a tu especialista para recibir el mejor tratamiento. ¡Tu sonrisa lo agradecerá!
¿Sufriste un diente fracturado? Contáctanos para una atención inmediata.













